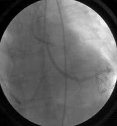
冠狀繞道手術完成之後,依據國外先前的研究,約有2~6%會需要立即作手術的 修正。 本院在大量採行技術難度較高的心臟不停跳冠狀動脈繞道手術之時,秉持著堅持最高品質的信念,引進進步的手術室血管攝影設備, 立刻以血管攝影進行血管 暢通性的評估(completion coronary angiography),以便偵測任何縫合處的的缺陷,並立即作修正。
目前為止,本院手術後即時血管攝影的研究顯示,本院的手術後即時血管暢通率極佳,只有不到 2%的繞道手術吻合處需要作修正,這樣的結果優於許多國外的報告。
本院也是全台唯一進行手術後即時冠狀動脈血管攝影的醫院
使用手術室血管攝影系統

一旦完成繞道手術後就用血管攝影來確認縫合處的品質
目前台灣地區僅有本院採行此項策略
暢通無阻的繞道血管,是我們對患者的最佳保證
